Zubni kvar u najmlađim uzrastima se nekontrolisano razvija na našim prostorima. Najnovija ispitivanja ukazuju da već 30 % trogodišnjaka ima obolele zube.

Osnovni uzroci karijesa, pa i njegovog ranog oblika, su prisustvo kariogenih bakterija i često unošenje rastvorljivih ugljenih hidrata, tzv. slobodnih šećera.Detaljnije

I pored toga što većina naših beba poseduju u ustima kariogene bakterije prenesene od roditelja ili ukućana(slabo održavjau higijenu zuba, imaju puno obolelih zuba i slabo posećuju stomatologa da ukloni aktive lezije) i često unose ugljene hidrate(pa i noću), ne razvija se kod svih rani karijes(pre 3. godine). To znači da postoje i dodatni faktori koji čine zube slabije otpornim na dejstvo kiselina ili umanjuju odbrambene sposobnosti u usnoj duplji.

Genetika ne utiče značajno na veću osetljivost zuba prema razvoju karijesa!?
Detaljnije

Mnogo su važniji različiti uticaji koji deluju u periodu tazvoja zuba. Danas je moguće da se ti faktori otkriju i da se takvoj deci pruže dodatne(pojačane) preventivne mere i pre nego što se jave prvi znaci oboljenja. Neki od tih faktora deluju još u trudnoći, a drugi neposredno na porođaju ili u prvim mesecima bebinog života.

Postoje dokazi da sledća stanja mogu da utiču na izgradnju zubne gleđi slabije kvaliteta i manje otpornosti:

  • Oboljenja i uzimanje pojedinih lekova u trudnoći
  • Prerano rođene bebe
  • Niska telesna težina bebe i drugi problemi na porođaju
  • Oboljenja bebe u prvim mesecima i uzimanje lekova
  • Aktivno i pasivno konzumiranje cigareta u trudnoći i u bebinom okruženju
  • Stres majke u trudnoći
  • Niske vrednosti vitamina D u trudnoći i kod bebe
  • Anemije i niske vrednosti gvožđa kod majke i kod bebe

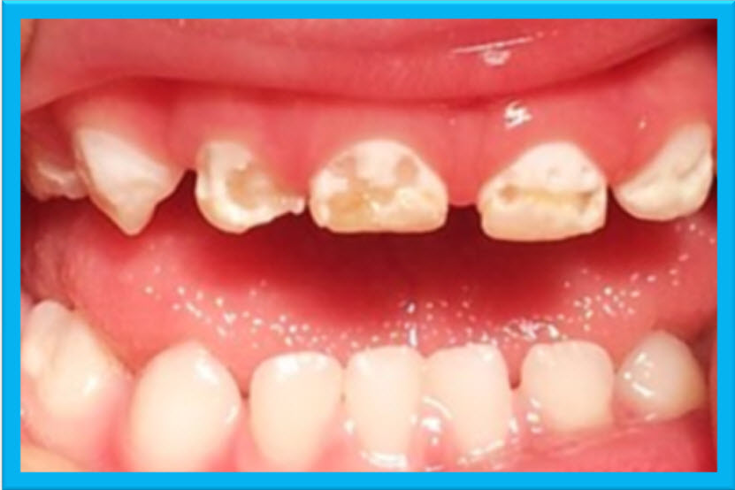
Na gleđi mogu da postoje vidljiva oštećenja (bele mrlje i defekti) (Slika 1.), ali često nema uočljivih kliničkih znakova. Detaljnije

Slika 1. Bele mrlje i defekti kao posledica nepravilnog razvoja zubne gleđi pod uticajem štetnih noksi u trudnoći ili prvim mesecima po rođenju

Bebe kod kojih postoje podatci za neko od navedenih stanja imaju visoki stepen rizika za razvoj karijesa i zahtevaju dodatnu profesionalnu zaštitu zuba. Obično pranje zuba i dečije zubne paste nisu dovoljne!!!

Pogledati detaljnije:

Šta je to karijes zuba

Stanja u trudnoći koja mogu imati posledice na otpornost zuba kod deteteta

Šta čini zube osetljivijim na razvoj zubnog kvara

Koje su bebe rizične za razvoj ranog karijesa

Prevremeno rođene i bebe sa malom težinom imaju osetljivije zube

Vitamin D smanjuje karijes

Stres u trudnoći više karijesa kod beba

Kako sprečiti pojavu karijesa kod beba