
Zubna gleđ je najtvrđe tkivo u živome svetu. To joj obezbeđuje sastav koji preko 96% težinskog dela čine minerali, uglavnom kalcijum i fosfati. Minerali su prostorno raspoređeni u veoma složenu kristalnu strukturu koja se naziva hidroksil apatit. Sićušne iglice kristala(nano veličine) se međusobno sabijaju u cilindrične tvorevine koje se vijugavo pružaju kroz celu debljinu gleđi(nekoliko milimetara) i nazivaju se gleđne prizme. Takva sabijenost i usnopljenost značajno povećava mehaničku čvrstoću. (Slika 1.)
Hidroksil apatit u zubnoj gleđi(inače on takođe gradi i koštano tkivo i hrskavicu) nije u potpunosti čist, već sadrži pored kalcijuma i fosfata i neke druge jone poput karbonata, magnezijuma, fluora i dr. Ove druge komponente određuju hemijske i fizičke osobine kristala, od kojih je najvažnija otpornost na dejstvo kiselina. Prisustvo fluorida pojačava otpornost, ali i brži oporavak kristalne rešetke. (Slika 2.)
Proces stvaranja zubne gleđi je veoma složen i razlikuje se od izgradnje koštanog tkiva. Posebne ćelije (ameloblasti) prvo izlučuju specijalne belančevine koje poput matrice organizuju i usmeravaju kristale hidroksilapatita u gore navedene snopove. Kada se izgradi kompletna debljina gleđi, ćelije nestaju, tako da nije moguće više stvarati nove slojeve. Ali to ne znači da je zubna gleđ statična(mrtva) tvorevina. Između nje i pljuvaćke postoji neprekidna razmena u mineralima i to u zavisnosti od okruženja.
Ako je ono kiselo(ispod pH 5,5), dolazi do izvlačenja minerala(demineralizacija), odnosno kompletnih nano kristala, i samim tima stanjivanje i slabljenja rešetke i prizmi. To se događa u procesu nastanka karijesa, kada bakterije iz zubnog plaka prerađuju šećere iz hrane, ali i kod dužeg „kupanja zuba“ u gaziranim napitcima. Detaljnije o ovom procesu pogledati u posebnoj objavi navedenoj na kraju „Zubni plak i nastanak karijesa“. (Slika 3.)
Ukoliko je pak na površini zuba sredina bazna onda se minerali iz pljuvačke organizuju u nano kristale i ugrađuju u kristalnu rešetku. To se zove remineralizacija.
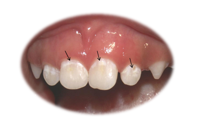
Kada postoji ravnoteža između ugradnje i izvlačenja minerala zubna gleđ je zdrava i normalne prozirne boje. Pojava beličaste boje(mrlja) prvi je znak da preovladava sredina pogodna za izvlačenje meinerala. Zubni kvar je posledica poremećene ravnoteže u kojoj dominira demineralizacija.
Ukoliko duže vreme na površine gleđi postoji kisela sredina, kristalna rešetka previše slabi i pod dejstvom pritisaka tokom žvakanja dolazi do pucanja i razvoja rupica(stručno se nazivaju kaviteti). Defekt u konitinuitetu gleđne prizme se, za sada ne može prirodno nadoknaditi i zato je neophodno da se popuni sa ispunom(plombom).
Da bi se lakše i brže vršio oporavak oštećene kristalne rešetke, neophodno je da na površini zuba bude prisutno dovoljno minerala i da štetna hrana(videti detaljnije na kraju) ne ometa njihovu ugradnju. Savremena ishrana, bogata šečerima, i loša higijena to otežavaju.(Slika 3)

Kada je razjašnjena kristalna struktura zubne gleđi, postojali su pokušaji da se dodavanjem punih kristala hidroksil apatita u zubne paste ili vodice za usta ubrza prosec remineralizacije, ali nisu dali zadovoljavajuće rezultate. Tek sa uvođenjem nanokristalnih čestica(tehnologija je razvijena još 1970 i to prvo u NASA, a u stomatologiji započela ispitivanja u Japanu od 80-tih godina prošloga veka, sa ozbiljnijom pojavom na tržištu u poslednje dve decenije) postignut je puni efekat. Danas se smatra da se u procesu demineralizacije iz kristalne rešetke izvlače upravo takvi nano kristali, a ne pojedinačni minerali, i da se isto dogadja i tokom ugradnje. Moglo bi se grubo reći da su nano hidroksilapatiti osnovne cilge u zidu zubne gleđi. I kako takvi bi mogli da predstavljaju budućnost stomatologije.
Naučna istraživanja sve više potvrđuju ovakva razmišljanja, što je i dovelo do pojave preparata za zaštitu i oporavak zuba na bazi nano apatita. Moguće je da se samo sa nanoapatitnim preparatima postignu zadovoljavajući efekti u prevenciji, i da kao takvi budu i zamena za fluoride. Istraižvanja su isto tako pokazala da kombinovano dejstvo fluorida i nanoapatita još više podstiče proces remineralizacije. Prisustvo složenog alkohola ksilitola, o kome smo detaljnije pisali, takođe pojačava ovakvu kombinaciju, jer istovremenu koči razvoj štetnih(kariogenih) bakterija, ali i podstiče procese remineralizacije.
Preparati sa nano apatitima se koriste za jačanja zubne gleđi(prevencija), izlećenje početnih promena na njoj(bele mrlje), ali i kod oporavaka blažih razvojnih defekata. Isto tako oni pomažu kod izbeljivanja zuba, smanjenja zadaha, ali ispoljavaju i antibakterijsko dejstvo pomažući u smiraivanju zapaljenskih procesa u desnima. Dobra osobina hidroksilapatita je da kao sastavni deo organizma nije uopšte toksičan i pri gutanju zanačajnih količina, pa se može bez ograničenja u količini (bez kontrole roditelja) primenjivati u svim uzrastima.
Dosadašnja istraživanja govore da je za ispoljavanje navedenih efekata neophodno da čestice hidroksil apatita budu manje od 500μ. Nano česticama se označavaju ako je veličina do 100μ. Mikro čestice su veličine 100μ do 1000μ, a makro>1000μ.
Uredbom iz 2022 godine, Komisija EU je stopirala primenu nanočestica u kozmetskim sredstvima, ali su makročestice do500μ u skladu sa tom odlukom. Zbog toga evropski proizvođači preparata za oralnu negu (npr Biorepair® i Vitis® ) ne spominju u njihovim deklaracijama nanoapatite.
Većina stručnih publikacija ukazuje da se efikasnost nano i mikro hidroksilapatita u sredstvima za negu zuba postiže samo ako je njihova koncentracija veća od 10%. Kod proizvodi koji nemaju taj nivo se uglavnom i ne ističe tačan sadržaj hidroksilapatita, ali se on može lako odrediti na osnovu pozicije koju materija zauzima na deklaraciji:
Ako se ona nalazi na prva četri mesta radi se o zadovoljavajućem sadržaju. Na primer:
Aqua, Glycerin,Zinc Hydroxyapatite* , Sorbitol, PEG-32, Silica, Cellulose Gum, Aroma, Sodium Myristoyl Sarcosinate, Sodium Methyl Cocoyl Taurate, Fragaria Vesca Juice, Mentha Piperita Oil, Sodium Saccharin, Citric Acid, Sodium Benzoate, Potassium Sorbate, Phenoxyethanol, Benzyl Alcohol, Anethole, Menthol
Lokalizacija u sredini ili pri kraju deklaracije upućuje da su prisutne količine manje od 10%. Na primer:
Aqua, glycerin, hydrated silica, sorbitol, xylitol, panthenol, aroma, sodium monofluorophosphate, xanthan gum, cocamidopropyl betaine, microcrystalline cellulose, decyl glucoside, hydroxyapatite (nano), glucose oxidase, mannitol, maltodextrin, mica, sucralose, citric acid, sodium hydroxide, zea mays starch, echinacea purpurea root extract, titanium dioxide, sodium chloride, d-limonene, sodium metabisulfite, glucose, calcium carbonate, l-menthol, centella asiatica extract, citrus aurantium amara fruit extract, potassium thiocyanate, polylysine, cetyl alcohol, linalool, silica, potassium chloride, tin oxide, harpagophytum procumbens root extract, ci 77492, ci 77491
Na našim tržištu su se preparati sa nano apatitima tek nedavno pojavili.

Za kolege stomatologe prilažemo i stručan tekst o dejstvu nano apatita:
Zubni plak i nastanak karijesa