
U toku razvoja zuba može da dodje do različtih oštećenja koja mogu da se ispolje u promenjenom obliku, broju, boji ili defektnoj strukturi tvrdih zubnih tkiva (gleđi, dentina i cementa).
Za razliku od karijesa i erozija razvojni defekti(poremećaji strukture zubnih tkiva), postoje odmah po nicanju zuba, i mogu da se nalaze na svim delovima zuba(za karijes su specifične određene osetljive zone). U pojedinim slučajevima genetskih nepravilnosti, odmah po nicanju zubna gleđ je normalnog izgleda, ali je veoma slabog kvaliteta i brzo počinje da puca, ili je pak, njena veza sa dentinom(zubna kost koja gradi veći deo zuba i nalazi se ispod nje) veoma labava, zbog čega počinje da se ljušti i ostavlja ogoleo dentin(videti kasnije).
Oštećenja strukture zuba se ispoljavaju u vidu zona belih mrlja gde usled poremećene mineralizacije gleđ nije providna(naziva se hipomaturcija) ili kao zone jamica i nedostatka tkiva(hipoplazija). Bele mrlje mogu da poprime pigment i dobiju žutu ili braokastu boju. Detaljnije
Poremećaji strukture mogu da zahvate pojedinačne zube ili više zuba.
Kada defekti postoje samo na pojedinačnim zubima, uglavnom su posledica oštečenja zubne klice stalnog zuba, sa korenom mlečnog zuba posle povrede ili infekcije koja se proširila sa vrha korena.
Različiti su uzroci razvojnih defekata zuba, od genetskih poremećaja do uticaja sistemskih faktora poput infekcija(virusne, bakterijske), intoksikacija(fluor, tetraciklini iil drugi antibiotici, žutica pri rođenju i dr.) ili postojanja hroničnih oboljenja(srčana, bubrežna, prevremeni porođaj i sl.).
Ukoliko štetna noksa deluja u periodu trudnoće, biće zahvaćeni mlečni zubi i delovi stalnih sekutića i kutnjaka (“šestice”), čija mineralizacija počinje oko rođenja. Štetne nokse, koje deluju u prvim godinama života ispolji će se na stalnim zubima.
Nasledna oštećenja su uglavnom nepravilno raspoređenja po celokupnoj zubnoj površini, a kod spoljnih noksi zahvataćeni su samo određeni delovi zuba i određeni zubi koji su se razvijali u periodu kada je ona delovala.
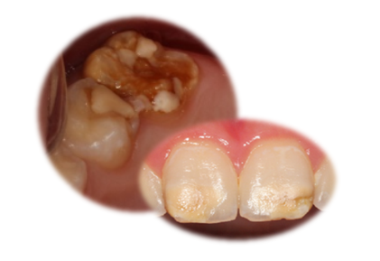
Kao što smo rekli, u osnovi se radi o poremećenoj mineralizacije gleđnih struktura koje se nazivaju prizme(gusto sabijeni kristali u štapićaste tvorevine koje se pružaju celom debljinom gleđi), tako da na tim mestima ne dolazi do propuštanja svetlosti(providnosti). Uzroci mogu da budu različit i razlikuju se od zubnog kvara koji takođe zpočinje sa belom mrljom.(Slika 1.) Ali tada se ne uočavaju odmah po nicanju zuba i nalaze se na lokalizacijama specifičnim za karijese: uz desni, između zuba, na griznim površinama. Detaljnije
Razlikuje se nekoliko vrsta razvojnih belih mrlja:
Pojava belih mrlja zahteva HITAN PREGLED kod stomatologa. Potrebno je razdvojiti postojanje karijesa ili razvojna oštećenja.(Slika 1.) Pojedini oblici sistemskih oštečenja mogu da dovedu do brzog trošenja i otpadanja gleđi pa je treba na vreme zaštititi. Pojedine bele mrlje mogu da se ublaže pa čak i uklone remineralizacionim tehnikama ako se na vreme započne. Kod drugih je potrebna estetski oporavak, zašta postoje različite privremene i stalne tehnike u zavisnosti od uzrasta deteta . Kod dece SE NE RADI BELENJE ZUBA!!!
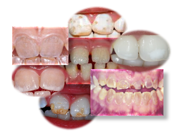
Kod težih poremećaja procesa izgradnje zubnih tkiva, stvara se nekvalitetna organska matrica, tako da postoje i defekti u različitim delovima zuba, koji nisu specifični za lokalizaciju karijesa. Ti defekti se stručno nazivaju hipoplazija. (Slika 2.) Lečenje zahteva kompleksne nadoknade izgubljenog tkiva.
Slika 2. Razvojni defekti u zubu(hipoplazija) A. kao posledica sistemkog faktora javlja se na više zuba; B. Pojedinačni defekt kao posledica utisnuća mlečnog zuba koji je oštetio klicu stalnog; C. Hipoplazija kutnjaka.
U zavisnosti koje grupe gena su zahvaćene, defektna struktura zuba može da bude lokalizovana samo u gleđi, kada se naziva defektno stvaranje gleđi (Amelogenesis imperfecta), samo u dentinu defektno stvaranje dentina (Dentinogenesis imperfecta), ili da zahvati kompletan zub defektno stvaranje zuba(Odontogenesis imperfecta).
Načini nasleđivanja su različtiti, od dominantnog, recesivnog ili vezanih za polne hromozome.
Kod nepravilnog stvranja gleđi, izgled lezije je šarenolik, može da se ograniči na nekoliko zuba ili da zahvati sve zube. Nepravilno su raspoređeni po celokupnoj površini zuba. Uglavnom postoji i kod mlečnih i kod stalnih. Poremećaji u strukturi zubne gleđi mogu da budu blaži i ozbiljniji, od defekata(hipoplazija), preko blago razmekšale(hipomaturacija), do praktičnog odsustva mineralizacije(hipomineralizacija), kada je gleđ veoma meka i brzo se ljušti.
Veoma je važno da se na vreme otkriju, posebno oblici sa oslabljenom mineralizacijom, kada je zub, sa odgovarajućim krunicama, moguće zaštititi. Postojanje samo defekata u gleđi(hipoplazija) se najlakše oporavlja odgovarajućim svremenim restaurativnim tehnikama. Zubi zahvaćeni Amelogenesis imperfectom su podložniji karijesu, pa se takvi pacijenti smatraju visoko karijes rizični, i zahtevaju pojačanu preventivnu zaštitu.
Nepravilno stvaranje dentina je veoma složena i komplikovana nepravilnost, kod koje su defektni geni zaduženi za izgradnju dentina. Ovo genetsko oboljenje može da bude izraženo samo na zubima, ali postoje i veoma teški oblici koji zahvataju i kosti, koje su krhe i lomljive(Osteogenesis imperfecta).
Kada iznikne zub, uglavnom izgleda normalno, osim plavičaste boje, pa se ponekada nazivaju i ćilibarni zubi. Zubna gleđ je normalne strukture, ali je poremećena njena veza sa dentinom, tako da se vrlo brzo oljušti i dentin ostaje ogoljen. Kao takav on se lako troši i zubi za kratko vreme budu sravnjeni do desni. Sa pravovremenom dijagnozom i zaštitom sa krunicama, moguće je da se kompletno sačuvaju. Detaljnije
Postoje i druge, veoma retke nasledne nepravilnosti strukture zuba, gde je poremećen njihov oblik, veličina ili su zubi skoro u potpunosti nerazvijeni.
Poseban oblik razvojnog defekta zuba se naziva MOLARNO SEKUTIĆNI POREMEĆAJ MINERALIZACIJE. Opšte prihvaćena skraćenica je MIH(Molar Incisive Hypomineralisation). Ova nepravilnost se poslednjih godina sve više spominje, i smatra se da je u porastu.
MIH predstavlja specifično razvojno oboljenje, koje zahvata samo stalne sekutiće i dva ili više prvih stalnih kutnjaka(šestice). Na zubima se nalaze bele mrlje i defekti.(Slika 3.) Gleđ zuba se lako troši, i na njima se lako razvija karijes. Ponekada oštećeni zubi i ne izlaze iz viličnih kostiju. Zahvaćeni zubi mogu da budu osetljivi na toplo, hladno i kod pranja. Specifična je i smanjen reakcija na anesteziju. Ostali zubi su pri tome zdravi. Detaljnije