U trudnoći zbog hormonalnih reakcija može da se poveća osetljivost desni i zuba, ali ona nikako ne uzrokuje pojačanu pojavu zubnog karijesa, kako je uvreženo mišljenje u narodu(„svaka trudnoća odnese po jedan zub).

Oboljenja zuba sa druge strane mogu da utiču na razvoj ploda, pa čak i da budu uzrok preveremenog porođaja i male težine deteta.

Šta je istina a šta zablude i šta je neophodno da trudnica čini pogledati u sledećim člancima(za pregled pojedinih članaka neophodno je da posedujete lični facebook profil):

DA LI TRUDNOĆA DONOSI VIŠE ZUBNOG KVARA

U narodu i dan danas kruži priča da “svaka trudnoća odnosi po jedan zuba”. Nekada su i strčnjaci smatrali da se tokom trudnoće gube minerali(pre svega kalcijum) iz zuba i kostiju. Kao posledica toga, smatrali su, dolazi do lakšeg razvoja i napredovanja karijesa i češćih zubobolja.Od toga perioda su rasvetljene mnoge tajne vezane za građu i metabolizam kostiju i zuba, kao i za uzroke i proces razvoja zubnog kvara Nauka je dokazala da hormonalne i metaboličke promene koje se događaju tokom trudnoće ne utiču na mineralnu strukturu zubne gleđi i samim time ne mogu da izazivaju zubni kvar. Ipak trudnoća sa sobom može da nosi određene rizike koji mogu da utiču na brži razvoj karijesa.

Pogledati detaljnije

BOLNA OSETLJIVOST ZUBA U TRUDNOĆI

U trudnoći topljenje gleđi mogu da izazovu česta povraćanja, ali i često unošenje kisele hrane za kojom trudniceimaju povećanu potrebu.

Mučnina i pojačano povraćanje u trudnoći je posledica hormonalnih promena koje dovode do slabljenja mišića na ulazu u želudac, pa dolazi do vraćanje hrane. Vraćeni sadržaj je natopljen želudačnom kiselinom i kao takav štetan po zube.

Ogoljavanje dentina u predelu vrata zuba može da se dogodi i usled zapaljenja desni i korišćenja tvrdih ili starih četkica i nepravilnih i grubih pokreta prilikom pranja zuba.

Pogledati detaljnije

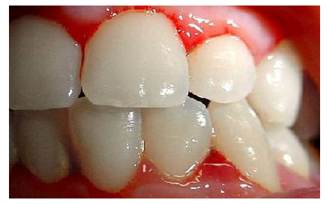
KRVAVLJENJE IZ DESNI U TRUDNOĆI

U trudnoći je pod dejstvom hormona povećana propustljivost krvnih sudova, pa je i reakcija desni na uticaje bakterijskih toksina izraženija, ali BEZ ZUBNOG PLAKA NEMA NI ZAPALJENJA. Kod redovnog i pravilnog održavanja higijene usta i zuba nema ni razvoja zapaljenja desni, ali se u trudnoći upravo higijena najčešće zanemaruje. Činjenica je da higijena kod naših žena uglavnom nije bila zadovoljavajuća ni pre trudnoće, zapaljenje je postojalo, ali se sada krvavljenje samo lakše uočava.

Pogledati detaljnije

OBOLJENJA DESNI MOGU DA IMAJU ŠTETNOG UTICAJA NA ZAČEĆE I RAZVOJ PLODA

Poslednjih godina je objavljen veći broj istraživanja sa zabrinjavajućim podatcima o uticaju parodontalnih promena(džepova i zapaljenskih oštećenja vilične kostikosti) na trudnoću i razvoj ploda.

Pogledati Detaljnije

Pogledati još:

Zdravlje zuba se stvara u trudnoći

Stanja u trudnoći koje mogu imati posledica na razvoj zuba kod deteta

Šta je to karijes zuba?

Oboljenja desni-podmukli ubica zuba

Oboljenja desni i opšte zdravlje