Zubni kvar(karijes) nastaje u prisustvu slobodnih šećera. Tada bujaju štetne(kariogene) bakterije, potiskujući ostale(korisne i neutralne) vrste. Kariogene bakterije prerađuju šećere pri čemu nastaju orgnske kiseline koje tope zubnu gleđ; ona se postepeno razmekšava, da bi u određenom trenutku došlo do pucanja i stvaranja defekta(kavitet). Tada se proces razaranja ubrzava i infekcija se širi u unutrašnjost zuba. Sve dok se ne stvori defekt, istopljenu zubnu gleđ je moguće u potpunosti oporaviti(vratiti minerale). Detaljnije

Mlečni zubi su gracilniji, tanjih zidova, a sama zubna gleđ slabije mineralizovana, pa je proces topljenja brži, ali i on zahteva određeno vreme dok ne dođe do pucanja, i iznosi u normalnim okolnostima oko 12 meseci. Proces topljenja zubne gleđi mogu da ubrzaju česti unos(više od 6 puta) makar i minimalnih količina slobodnih šećera, njen slabiji kvalitet zbog razvojnih nepravilnosti nastalih u periodu razvoja, koje ne moraju da budu vdljive golim okom, i slaba oralna higijena, posebno ako se ne koriste fluoridi.

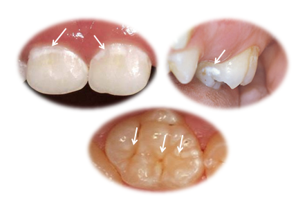
Prvi znaci topljenja gleđi su bele mrlje.(Slika 1.) One se lako uočavaju na vidljivim i griznim površnama zuba, i to su mesta gde se najpre i najbrže razvija rani karijes, naziva se još i „cirkularni karijes“, i od njega već do druge godine oboljeva 15%, a u periodu 3 – 5 godina čak 50% naše dece. Ovakva lokalizacija se lako uočava na običnom pregledu i pravovremenom intervencijom je moguće lako da se spreči pucanje.

Slika 1. Početni znak karijesa(topljenja zubne gleđi) su bele mrlje na tipičnim mestima: vrat zuba, grizne površine i bočne površine koje se uglavnom ne vide.

Poseban problem predstavlja topljenje zuba na bočnim površinama koje su u međusobnom kontaktu. Proces topljenja se tu odvija neprimetno, uglavnom nema bilo kakvih simptoma, poput osetljivosti(mlečni zubi su slabije osteljivi, ali i kod stalnih obično ide bez simptoma). Kada zubna gleđ dovoljno oslabi, prilikom najobičnijih pokreta žvakanja dolazi do pucanja zuba i lezija postaje vidljiva.(Slika 2.). I to izgleda kao da je „potpuno zdrav zub preko noći oboleo“.

Slika 2. Pucanje zuba posle dužeg topljenja zubne gleđi na bočnoj površini. Velika je verovatnoća da je kod ovakvog defekta već došlo do nepovratne infekcije inutrašnjosti zuba(zubna pulpa, “živac”)

Ovakve defekte na mlečnim zubima je često veoma komplikovano rešavati klasičnim „plombiranjem“, već se moraju postaviti posebne fabričke krunice(Slika 3.).

Slika 3. Fabrička čelična krunica za razorene mlečne zube

Danas postoje metode jednostavnog zaustavljanja uznapredovalog karijesa bez preparacije (“bušenja”) pomoću preparata srebra i fluorida, uz jedinu manu da tretirana lezija ostaje crne boje. (Slika 4). Detaljnije

Slika 4. Karijes zaustavljen preparatima srebra

Još veći problem sa ovakvim napredovanjem bočnog karijesa je, da kada postane vidljiv(došlo je do pucanja), defekt je poprilično već napredovao i prema zubnoj pulpi(„živac“), i izazvao nepovratno zapaljenje. U određenim slučajevima je moguća da se takva pulpa posebnim tehnikama delimično očuva, ali često to nije moguće uraditi zbog otežane saradnje ili napredovanja zapaljenja u viličnu kost, pa je vađenje jedino rešenje. Tu često slede velike greške stomatologa, kada zube koji otiču, ili imaju fistule(Slika 5.), kao znake prisutne hronične infekcije u kosti oko zuba, čuvaju pomoću antibiotika i dreniranja(bušenja kro zub da istekne gnoj). Time ugrožavaju opšte zdravlje deteta. Tačno je da se ranim vađenjem mlečnog zuba može da izgubi prostor za smeštaj stalnog zamenika, ali to se rešava na drugačiji način.

Slika 5. Fistula

Da li je moguće da se spreči ili na vreme otkrije bočni karijes i izbegne ozbiljno pucanje zuba?

Pranje zuba

Prvo od roditelja često čujemo da dete redovno pere zube.

Jedno je zube prati a drugo dobro ih oprati!

Dete sa mlečnim zubima(do 6-7 godine) ne može samo da dobro opere zube. U tome moraju da mu pomažu roditelji. Detljnije

Dečije zubne paste, sa manjom količinom fluora, ili bez fluora, nisu efikasne, pogotovu ako je u ishrani prisutan više od jednog unosa slobodnih šećera.

Pranje zuba sa četkicom i zubnom pastom, pa i da je idealno, ne može da očisti međuzubne prostore. Zato je potrebno da roditelji započnju sa njihovim čišćenjem odmah po postavljanju svih bočnih zuba. Detaljnije

Ishrana

Unos slobodnih šećera, posebno između obroka znak je visokog rizika, pogotovu ako nije praćen i pojačanim unosom zaštitne hrane. Detaljnije

Najvažnije je određivanje rizika

Danas je moguće na osnovu određenih analiza proceniti da li je dete niske, srednje, ili visoke sklonosti da dobije zubni kvar, pre nego se i pojave bilo kakvi znaci. Dete koje već ima, makar i jedan oboleo, ili čak i plombiran zub, već spada u visokorizičnu grupu. Detaljnije

Savako dete bi trebalo da odmah po nicanju zuba prođe kroz jednu procenu stepena rizika i da se na osnovu njega određuje i program preventivnih mera. Osnove rizika čine analize ishrane, navike oralne higijene, mogući faktori koji dovode do izgradnje slabije otporne zubne gleđi, stanje zuba u porodici, prisustvo kariogenih bakterija. Rizik nije trajna kategorija i idealno bi bilo da se proverava svake godine.

Deca koja pokazuje znake srednjeg ili visokog rizika dobijaju posebnu profesionalnu preventivnu zaštitu, njihove mlečne kutnjake bi trebalo obavezno zaliti, treba da koriste jače zubne paste sa dovoljnom količinom aktivnih sastojaka, a to su prema postojećim dokazima, pre svega fluor, a verovatno i ksilitol i nanoapatiti. Detaljnije

Kad je reč o prevenciji bočnog karijesa kod rizične dece je obavezno, ali nije na odmet i kod one druge, da se naprave posebni rendgenski snimci koji pokazuju stanje bočnih površina. Sa njima se može uočiti topljenje u samom začetku, i određenim merama lečenja čak izbeći i postavku plombi. Detaljnije

Svakako, da je kod rizične dece neophodno sprovoditi kontrolne pregede mnogo češće, u početku možda i na mesečnom nivou, a kasnije na svaka tri meseca. Pregledi nisu samo traganje za karijesom, već kompletna analiza stanja oralne higijene, provera i trening načina pranja zuba, primena predloga ishrane, primena profesionalnih preventivnih mera prilagođenih uzrastu deteta. Ovo je svakako sve naučna fantastika za naše fondove zdravstva, koji su odredili samo jedan pregled godišnje u kvotu svoga finansiranja. Na žalost u predškolskom uzrastu, i to se uglavnom ne sprovodi. Svaka čast i pohvala pojedincima koji poštuju preporuku!!!

Prirodni oporavak zubne gleđi sa anapitnim mikročesticama
Pogledati detaljnije preko linka

Pogledati još:

Predškolsko dete sa karijesom-šta raditi?

Da li su mlečni zubi važni

Kako se peru zubi?

Šta treba znati o zubnim pastama

Čišćenje međuzubnog prostora