
Postoje pojedine navike koje se razvijaju od najranijeg detinjstva, i ako se održavaju duže vreme mog veoma štetno da utiču na razvoj zuba i vilica kao i da budu direktni uzročnici njihovog oboljevanja.

1. Stvaranje zavisnosti prema šećerima i slatkom
2. Disanje na usta
3. Sisanje palca
4. Škripanje zubima
5. Guranje jezika između zuba
6. Cucla

Takozvani slobodni šećeri su glavni uzročnik zubnog kvara, i značajno utiču na razvoj oboljenja desni, ali isto tako, prema zvaničnim izveštajima SZO(Svetske Zdravstvene Organizacije) neposredno su povezani sa najznačajnijim hroničnim oboljenjima savremenog čoveka poput gojaznosti, dijabetesa, kardio-vaskularnih bolesti, pa i pojedinih malignih oboljenja.
Još veći problem u regulisanju unosa slobodnih šećera predstavlja njihova dokazana sposobnost da izazivaju zavisnost, za koju pojedini načnici i eksperimenti, tvrde da je čak veća od heroinske.
Pojava zubnog kvara, ukoliko se na vreme otkrije, može i da se zaustavi i kontroliše drugim sredsvima, ali za pogubni uticaj na druge organe(na žalost poledice se javljaju i decenijama kasnije), i produbljivanje zavisnosti ne postoje odgovarajuće protivmere.
Videti DETALJNIJE

Disanje na usta započinje usled zapušenosti gornjih disajnih puteva, nosa i ždrela. Prolazak vazduha kroz nos je veoma bitan radi pravilnog disanja i funkcionisanja kompletnog organizma. Neprolazak kroz prirodne vazdušne puteve može da uzrokuje čitav niz hroničnih oboljenja, i takve osobe su u stalnom nedostatku kiseonika. Kod disanja na usta, posebno u periodu razvoja skeleta, vrši se pritisak na tvrdo nepce prema nosnoj šupljini. Pošto nema odgovarajućeg kontrapritiska iz nosa, nepce se sužava potiskuje prema gore stvarajući „visoko ili Gotsko nepce“.
Usled sužavanja i produbljivanja tvrdog nepca isturaju se prednji zubi, opuštaju mišići, usne su stalno razmaknute i takva deca dobijaju tipičan „tupi izgleda“: izduženo usko lice, zaostala donja vilica i brada, izraženi razmak između gornje i donje vilice i „zgužvani zubi“. Slabije su razvijene nozdrve i nos, usne su suve i ispucale i izraženi su tamni podočnjaci.
Videti DETALJNIJE

Kod beba je nagon sisanja neophodan zbog dojenja, ali i prirodan način relaksacije. Tokom intrauterinog razvoja na ultrazvuku je zabeleženo kako fetus sisa palac(slika 1). Uobičajno se ovaj nagon smanjuje posle 6. meseca, ali kod jednog broja beba i kasnije kod male dece i dalje opstaje. I pored različitih stavova, danas se većina stručnjaka slaže da nije potrebno preduzimati bilo šta do 3- 4 godine života. Neophodne su konsultacije, ako je sisanje palca povezano sa čupanjem kose, problemima sa govorom. Sisanje palca produženo posle 3 godine, posebno kombinovno sa drugim navikama poput guranja jezika između zub, disanju na usta, problemima sa govorima i sl., već zahteva ozbiljnu pažnju stručnjaka.
Videti DETALJNIJE

Škripanje zubima(stručni naziv je bruksizam) nije retko ni kod dece. Najčešće se pojavljue u periodu nicanja mlečnih i stalnih zuba, i uglavnom se gubi po njihovom potpunom izbijanju. Mnogo je češće noćno škripanje od dnevnog i roditelji ga ređe i to uglavnom slučajno primećuju. Iako je stres najčešći uzrok bruksizma kod odraslih, uzroci škripanja zuba kod dece mogu da budu različiti. Spominju se nepravilni kontkti između zuba, ali i različita opšta oboljenja i stanja(infekcije, nepravilna ishrana, alergije, parazitarna oboljenja, hormonska oboljenja i sl.). Svakako da značajnu ulogu mogu da imaju i stres i ostali psihološki problemi(anksioznost, hiperaktivnost). Postojanje bolova i drugih simptoma, izraženo trošenje zuba) kao i zaostajanje disanja na usta(i posle izvršenog uklanjanja krajnika i obezbeđivanja prohodnosti gornjih disajnih puteva) zahteva odgovarajuće mere lečenja i zaštite, koje su jednostavne i veoma efikasne. Ne treba zanemarivati problem!
Videti DETALJNIJE

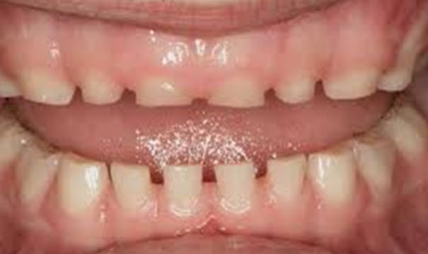
Radi se o poremećenoj ranvoteži između mišića lica, usta i jezika pri kojoj se jezik gura između gornjih i donjih sekutića tokom gutanja, govora ili mirovanja. Bebe tokom gutanja uglavnom vrše izbacivanje jezika prema zubnom grebenu ili zubima, ako su iznikli. Stručno se to naziva infantilno gutanje. Infantilno gutanje kod beba je posledica zaštitnog refleksa koji sprečava gušenje, jer kada strano telo dospeva u njihova usta automatski se izbacuje napolj. To se najbolje prevazilazi dojenjem koje pomaže jačanju i koordinaciji mišića. Gutanje sa guranjem jezika između zuba kod najvećeg broja dece se prevazilazi u potpnnosti u periodu do 4 godine. Ako se spontano ne izgubi, postoji velika mogućnost da se zadrži i izaziva niz posledica. Na pojačavanje i zadržavanje guranja jezika između zuba utiče: disanje na usta, uvećani ili “sapeti“ jezik, prerani gubitak prednjih mlečnih zub, slaba kordinacija mišića lica, griženje usana i noktiju, uvećani krajnici, oboljenja desni. Detaljnije
Videti DETALJNIJE

Postoje veoma oprečna mišljenja u vezi mogućih korisnih efekata kod korišćenje cucle, uglavnom sa nedeovoljno snažnom naučnom potporom. Prelomi cucle i neadekvatne veličine mogu da budu uzrok ugušenja deteta, o čemu traba strogo voditi računa prilikom odabira. Isto tako cucla treba da ima i otvore za vazduh.Najveći nedostatak, je dokazani uticaj preranog korišćenja cucle na prestanak dojenja. Zbog toga se snažno NE PREPORUČUJE varalica pre nego se dojenje u potpunosti ne uspostavi.Kao nedostatci se spominju i moguće infekcije usta, creva i srednjeg uva. One se češće povezuju sa cuclama od lateksa u odnosu na silikonske. Plastične cucle koje u sebi sadrže određena organska jedinjenja(npr bisfenol A) mogu da budu snažan izvor alergija. Veliki broj studija upućuje na mogućnost nepravilnog razvoja vilica i postavke zuba kod dužeg nošenja cucli.
Videti DETALJNIJE
