
Najćešće primedbe i preporuke stomatologa svojim pacijentima i roditeljima su “treba da bolje perete zube”, “ne perete zube pravilno”, “zubi su oboleli zato što ih niste prali” i sl. Ipak veoma retko se detaljno i ustima deteta ili odraslog pacijenta pokazuje i proverava da li pacijent zna pravilno da pere zube i da li to redovno i sprovodi. Pokazivanje samo na modelu ili prospektima nije dovoljno niti motivišuće. Dokazano je da samo upozorenja i demonstracija od strane stomatologa vrlo malo utiče na promenu motivacije čak mogu da imaju i suprotne efekte. Ankete Zavoda za javno zdravlje Srbije na našim prostorima pokazuju da samo 40% – 50% građana izjavljuje da svakodnevno pere svoje zube, pri čemu pitanja nisu precizirana da li je to i dva puta dnevno(što je minimum za održavanje zdravlja). Detaljnije
Čak i kod redovnog pranja zuba, zaštita od karijesa ne će biti dovoljna ako je ono kratko, nepravilno i ako nema zubne paste sa fluorom(ili eventualno nekim drugim dokazanim sredstvom poput ksilitola). Kod rizične dece tzv. dečje zubne paste nisu dovoljne i danas se preporučuju veće koncentracije fluoride sa manjom količinom paste. Pogledati Detaljnije
Često se postavlja pitanje KOJA JE PRAVILNA TEHNIKA PRANJA ZUBA? I kada se žele potražiti precizni, naučno provereni odgovori, nailazimo na dilemu, jer ne postoji još uvek opšte prihvaćena preporuka.
Ono što je ipak opšte prihvaćeno, zube ne treba prati sa snažnim trljanjem horizontalnim pokretima(napred-nazad)(slika 1.) jer se tako najslabije uklanja plak i postoji velika opasnost da se povrede desni, a kod tvrđih četkica i preterano snažnih pokrete da se ošteti i predeo vrata zuba(gleđne erozije).
Ove promene(slika 2 i 3) su češće kod stalnih zuba.
Tehnika kružnog kretanja četkice oko stisnutih zuba ili pojedinačnih vilica(često se primenjuje kod dece) se pokazala kao najmanje efikasna.
Prema jednoj najnovijoj studiji(iz 2015 godine) utvrđeno je da postoji velika neusaglašenost, ali da najveći broj udruženja i fakulteta predlaže tzv. BASS-ovu i MODIFIKOVANU BASS-ovu TEHNIKU. Da bi ona bila bez propratinih oštećenja tkiva jedinstven je stav da četkica treba da bude MEKA(soft). Čvrste četkice se praktično i ne proizvode, ali probmematično je i korišćenje najprodavanijih(i znatno povoljnije cene) medium četkica. Naješće se primenjuju četkice sa velikim brojem elastičnih vlakana(“multi tufted”)(slika. 4.) Četkica treba da bude prilagođena uzrastu deteta, a drška da je dovoljno udobna.
U poslednje vreme se preporučuju i modifikovani dizajn sa stepeničasto i zasečenim rasporedom vlakana za koje se tvrdi da bolje naležu na desni i u prostore između zuba i da je manja mogućnost da oštete tkiva.(slika 5). Ipak još uvek ne postoje ubedljivi dokazi za takve tvrdnje.
BASSOVA tehnika se sprovodi tako što se tanka i elastična vlakna meke čeetkice postavljaju delom na desni a delom na vrat zuba. Na taj način vlakna ulaze i prostor ispod desni, ali delom i u međuzubni prostor.(slika 6.) Četkica se zatim uz blage vibracije okreće i spušta na dole(gornja vilica) ili diže na gore(donja vilica).
Detaljnije sama tehnika može da se pogleda na video preuzetom sa sajta Washungton Univerziteta u Sjetlu(USA). Video
Na jednoj površini treba napraviti najmanje 5 pokreta i zatim preći na sledeću. Najbolje je da se pranje zuba vrši po ustaljenom redosledu, jer se tako neće propustiti pojedini delovi vilica. Merenjem samo vremena(često se preporučuje 2-3 minuta), dužine pranja ne obezbeđuje se ravnomerno ćišćenje svih delova zuba.
Četkica treba da traje najviše 2-3 meseca, ali da se zameni čim se primete promene na vlaknima(slika 7.). Kod dece se ovo dešava mnogo ranije nego što je predviđeni roka trajanja, jer se ona sama igraju sa njima i žvaću ih. Ovakve četkice ne uklanjaju efikasno zubni plak i mogu da oštećuju zube i desni.(Slika 7)
Do skora se smatralo da ne postoji značajnija razlika u kvalitetu uklanjanja dentalnog biofilma između običnih (manuelnih) i električnih četkica. Savremeni modeli, posebno sonični sa horizontalnim pokretima pokazuju određenu prednost. Uvođenje različitih aplikacija za kontrolu četkanja i jačine pritiska, kao i motivacionih intermedijarnih prezentacija može značajno dapodiže nivo motivacije za oralnom higijenom, posebno kod dece. Detaljnije
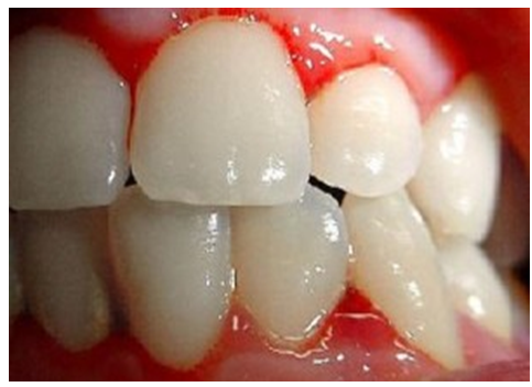
Kontola pranja se može proveravati posebnim tabletama ili rastvorima za otkrivanja zubnog plaka. Postojanje krvavljenja iz desni spolja ili između zuba(posle unošenje međuzubne četkice, ili koncakonca) siguran je znak da plak duže vreme(nekoliko dana) nije detaljno uklonjen. (Slika 8.)
Kako čuvati zubne četkice?Odgovor
Dužina, vreme pranja zuba i kada ispirati? Odgovor
Da li električna četkica ima prednost?Odgovor
Kako se čiste mđuzubni prostori?Odgovor
