
Zubni kvar ili karijes nije bolest u pravom smislu, vec proces koji se razvija duže vreme, a čija je krajnja posledica defekt(rupica) na površini zuba stručnog naziva kavitet.
Na površini zuba se stvara tanka prevlaka sastavljena od bakterija. One proizvode zelatinoznu masu(sastvaljenu od složenih šećera) koja ih međusobno povezuje. Takva tvorevina se naziva biofilm ili zubni plak. Pojedine bakterije se hrane šešerima(ugljenim hidratima) iz hrane, razlažu ih i kao nus-produkt tog razlaganja se stvaraju kiseline. Kiseline deluju na površinu zubne gleđi koja je u preko 95% sastavljena od minerala kalcijuma i fosfora organizovanih u specijalnu kristalnu rešetku tipa hidroksil apatita. Kiseline izvlače minerale iz te rešetke i time slabe čvrstinu zuba.
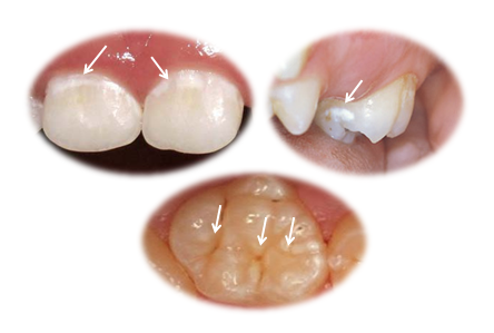
Prvi znaci topljena zubne gleđi su bele mrlje na mestima uz desni, u žlebovima na griznim površinama i između zuba(uuglavnom se ne vide golim okom, ali mogu da se otkriju pomoću rendgenskog snimka). (Slika 1.)
Zub se kupa u pljuvačci koja sadrži između ostalog i minerale. Normalno uvek postoji razmena minerala između gleđi i pljuvačke, ali kada je pretežno prisutna kisela sredina, preovlađuje njihovo izvlačenje. Pljuvačka sadrži brojne odbrambene i neutrališuče faktore i oni kontrolišu razvoj bakterija, ali se to pod različitim uticajima može poremetiti. Hrana koja sadrži rastvorljive ugljene hidrate, stvara kiseline i do 20 minuta po prestanku unošenja. Česti obroci, tako praktično stalno održavaju kiselu sredinu na površini zuba, a pljuvačka je ne može neutralisati. U jednom trenutku će doći do tolikog slabljenja čvrstine gleđi i ona pod dejstvom sila u ustima(pritisak žvakanja, mehuri vazduha, hrana) puca i stvara defekt.
Defekt ne može u potpunosti da zaceli pa se u njega dodatno naseljavaju bakterije i šire razaranje u dubinu zuba sve do zubne pulpe(zubni nerv). Infekcijom zubne pulpe nastaje nepovratno, najčešće bolno zapaljenje, i tada se ona mora ostraniti. Sa pulpe se preko korena zuba infekcija širi na kost i može dovesti do hroničnih procesa ili bolnih otoka. (Slika 2.)
Pojedini delovi zuba gde se lakše zadržava i teže uklanja hrana su skloniji stvaranju i rastu zubnog plaka a samim tistvaranju rupica. To su grizne površine zuba, bočne površine zuba koje su u kontaktu i predeli vrata zuba.
Proces izvlačenja minerala iz zubne gleđi može da traje i do 3 godine dok ne dođe do pucanja gleđi. Kod mlečnih zuba je oko godinu dana, osim kod ranog karijesa kod beba. Ovakve promene ne mogu najšeće i da se otkriju ni pažljivim i detaljnim pregledom(često i sa rengen snimkom). A to je period kada se karijes u potpunosti leči, jer promenom režima ishrane, uvođenjem zaštitnih sredstava koji pomažu vraćanje minerala u gleđ i dejstvom na zubni plak, gleđ će ponovo da očvrsne. Na ovaj naćin će se oporaviti i mnogobrojna početna oštećenja koja se i ne mogu otkriti klasičnim pregledom i sprečiti pojava rupica.
Zato je veoma važno redovno odlaziti kod savremenog stomatologa koji će proceniti trenutni rizik, uraditi pravu dijagnozu i prepisati specifične preventivne mere koje mogu da spreče pojavu rupica.
Savremeni stomatolog se više ne bori sa karijesom samo tako što će bušiti zube i stavljati plombe(svaki zub ima 5 površina na kojima može da se razvije rupica) već što uspostavlja ravnotežu i drži pod kontrolom razmenu minerala na površini zuba.
A to je proces koji zahteva neprekidno praćenje i kontrolu rizika!
Šta je to zubni plak(biofilm)?